cncpt-artikel_lb_atf
Ny mode of action viser lovende resultater med komplet respons hos patienter med svært refraktær myelomatose
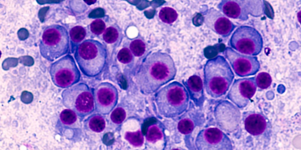
På EHA 2021 præsentrede Professor Sagar Lonial, Winship Cancer Institute, Atlanta, resultater fra en igangværende fase 1/2 undersøgelse af patienter med recidiverende og refraktær myelomatose, behandlet med det immunmodulerende stof iberdomid, der retter sig mod proteinkomplekset cereblon E3 ligase.
Brænder du for at skrive?
Vil du gerne dele din forskning eller dine kliniske erfaringer med dine kollegaer inden for netop dit speciale? Har du en ide til en artikel, som du gerne vil udgive hos os? Send redaktionen en mail på redaktion@bpno.dk
Send mail til redaktionen






